Immediate Preliminary Bridge
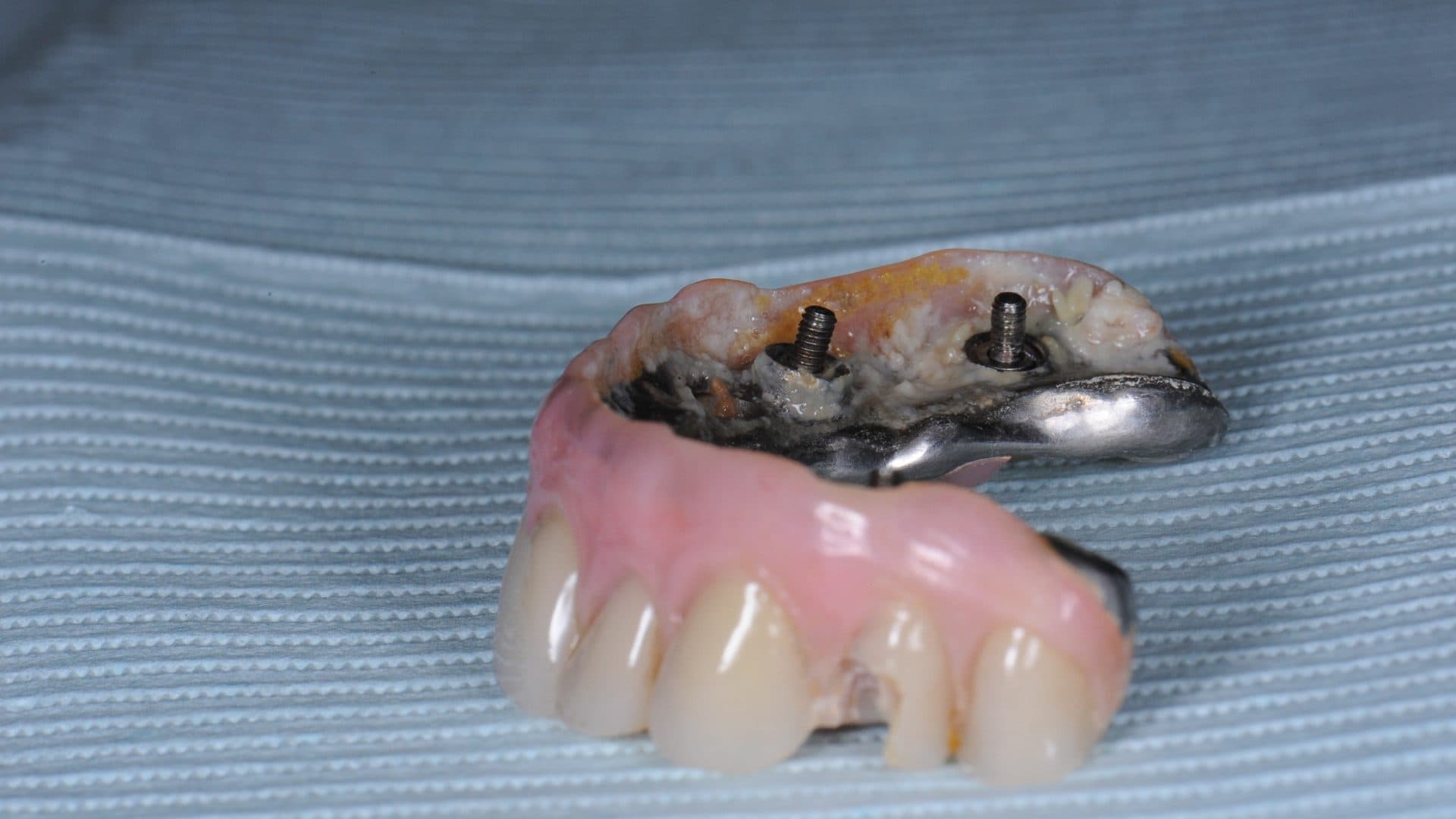
The implants in the picture below were also clean at one time, and probably looked great before the wear and tear, but click through on the picture to see the damage done when implants are placed incorrectly, causing the teeth to be bulky and impossible to clean.
You will likely be shown the surgeon’s best of cases, below is a photographic guide on things that you should to look out for:
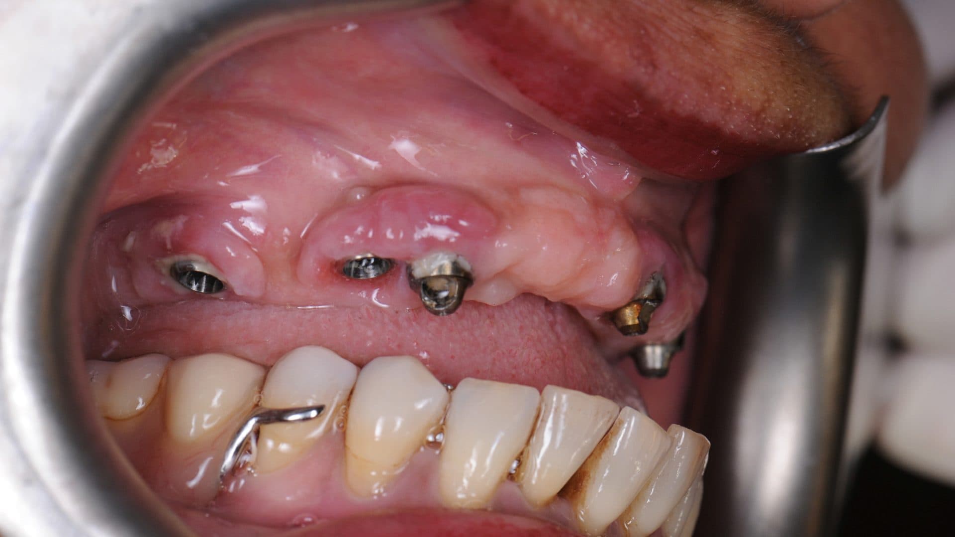
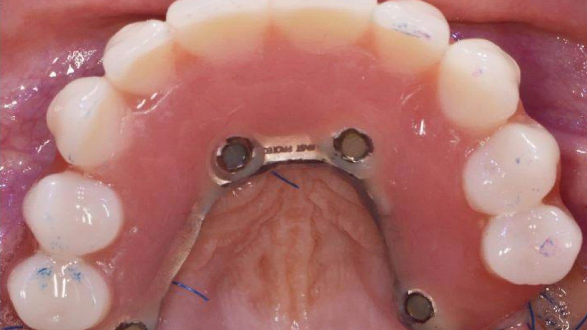
i. Even spread of the implants and flat and uniform under-surface/interface between the prosthesis and the natural gums. A deviation from this will affect the cleanability of the prosthesis, food entrapment and smell (See pictures);
Ideal Situation
Examples Of Poor Standards
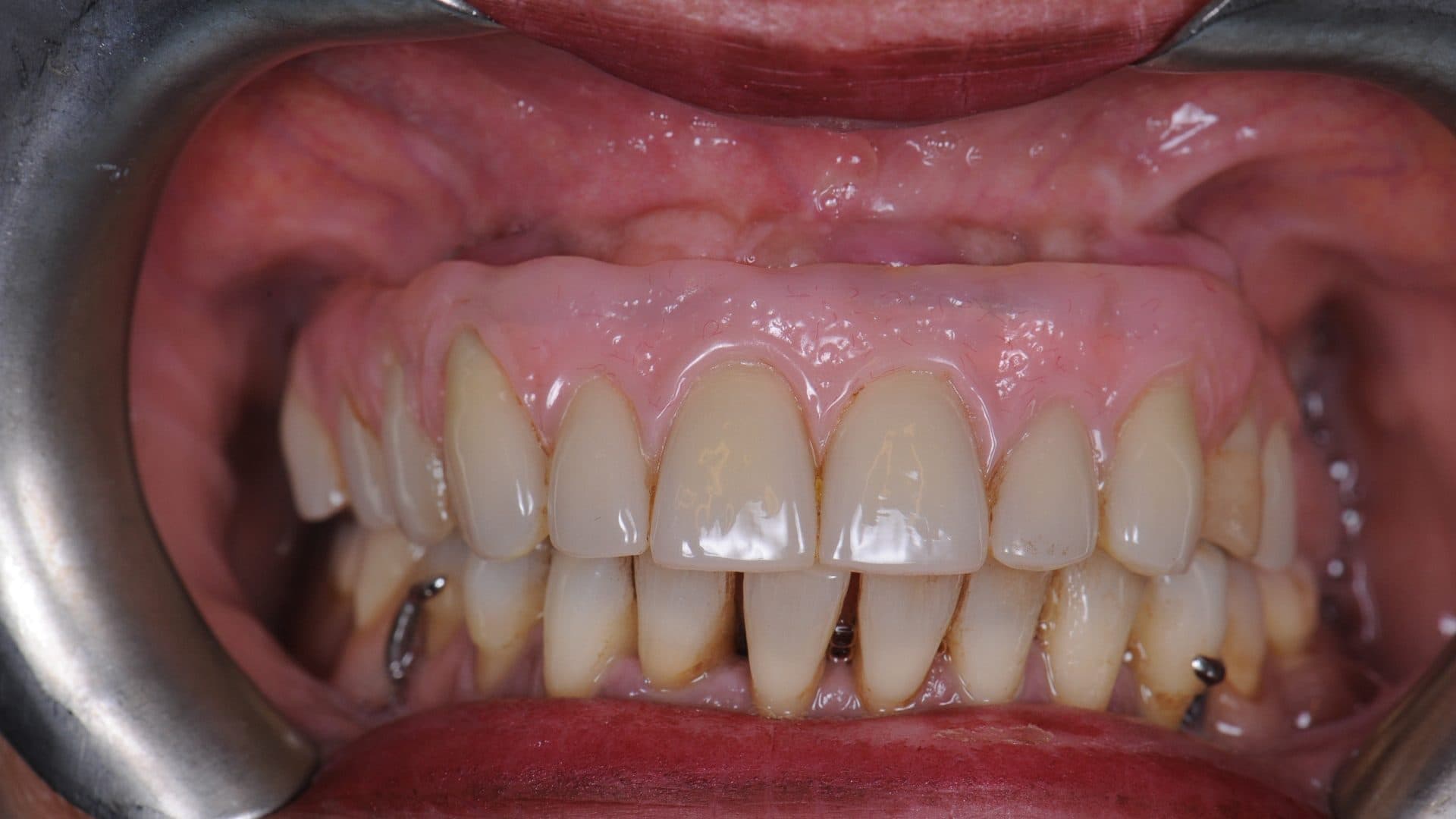
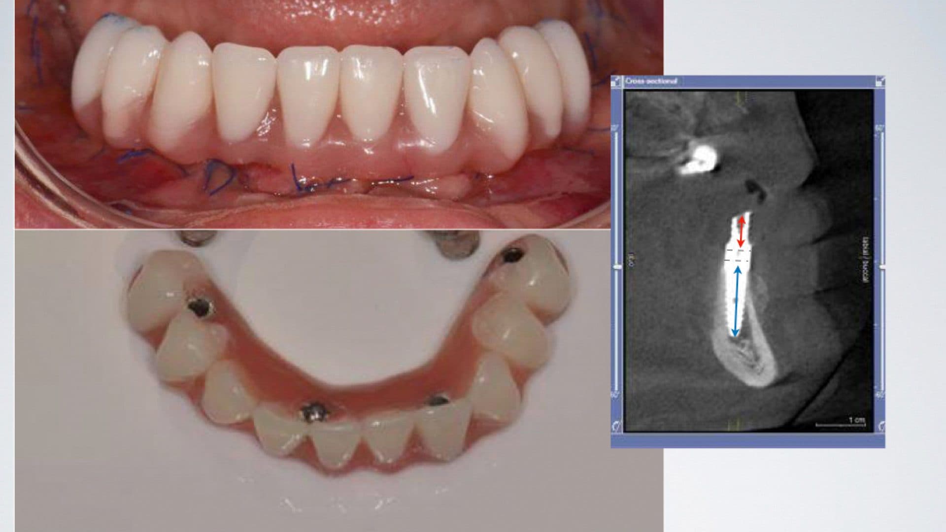
ii. The access holes for the screws are located near the edges of the front teeth and in the middle of the back teeth. Any deviation from this will severly affect level of comfort, speech, and also cleanability (See pictures);
Ideal Situation
Examples Of Poor Standards
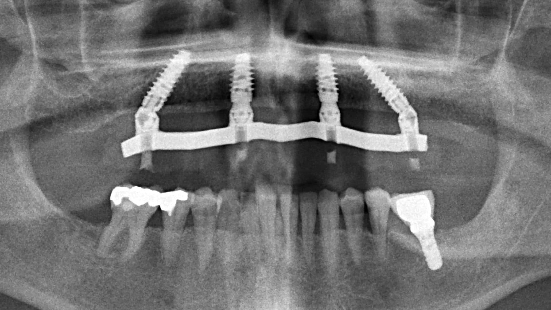
iii. Alignment on x-rays: there should be even spread, rigid connection between the implants, good bone levels, and the height of the prosthesis should be at least as tall as the shortest fixture (See pictures).
Ideal Situation
Examples Of Poor Standards
Coordination of your treatment: knowing who is involved and how can this affect the outcome?
Some clinics offer the surgical component by one clinician and the restorative component by another. This in itself is not a problem as long there is only the one consultant who coordinates the entire treatment, and the second clinician operates merely a surgical or restorative assistant.
However, when there are more than the one consultant with treatments at different locations, for example a surgical consultant in one location and a restorative consultant at another, this model does not lend itself to the quality control requirements of cross-disciplinary procedure like All-On-4, where the consultant must have adequate skills and be intimately familiar with both the surgical and restorative components of the treatment.
Apart from the inconvenience that seeing multiple consultants might also entail, there are often issues with communication, logistics, mismatched philosophies and poor cross-disciplinary awareness. Unfortunately it’s often a case of ‘the left hand not knowing what the right one was doing’, but with All-On-4 this kind of coordination is key to success and patient satisfaction! It is therefore advantageous when the treatment is undertaken at the one clinic and fully prescribed and coordinated by a single doctor, who assumes responsibility and remains the one point of contact if a problem ever arises in the future.



























