How to Choose the Right Expert for Your All-On-4 Plus® Dental Implants
Written by Dr Alex Fibishenko, the creator of the All-On-4 Plus® Dental Implant Solution, this article explores the benefits and risks of dental implants based on his 25 years of experience and the successful placement of thousands of implants.
When considering a potentially life-changing treatment like All-on-4 Plus®, choosing a trusted dental implants expert can be confusing for patients.
There is a great deal of misinformation out there and marketing strategies that deflect a prospective patient’s attention from the more relevant details. Apart from that, people in general lack a familiarity with surgical concepts (not unexpectedly), and tend to harbour a feeling of hope, which is innate to human nature, especially when facing a struggle with their teeth or their finances. However, elating as it may be, in actual fact hope is unreliable!
For suitable candidates, All-on-4 Plus® dental implants treatment can be transformative and offers an incredible solution for people who wear dentures, or those with deteriorated teeth and who want to avoid having to wear a plate, though in the wrong hands it can be quite the opposite.
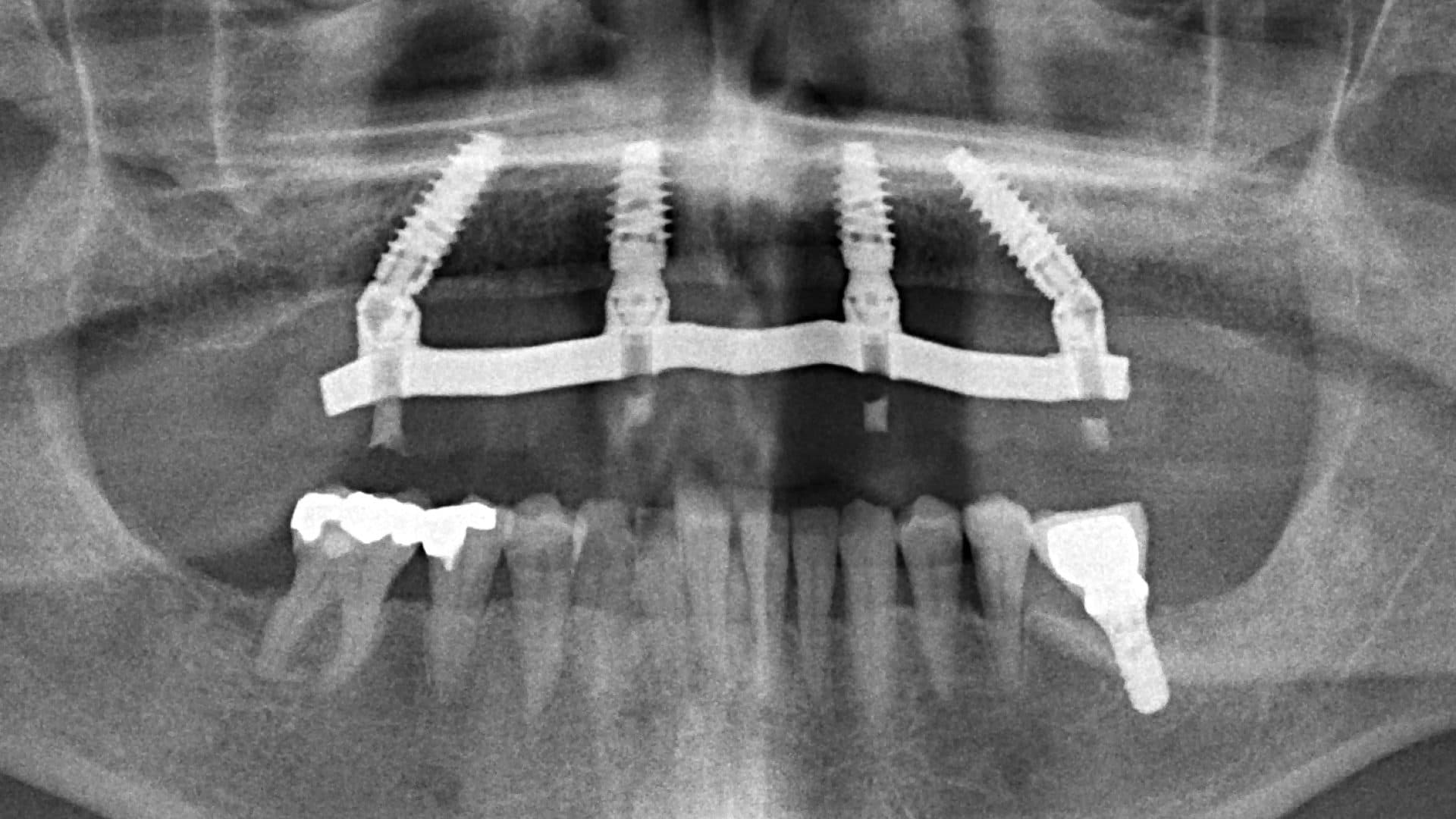
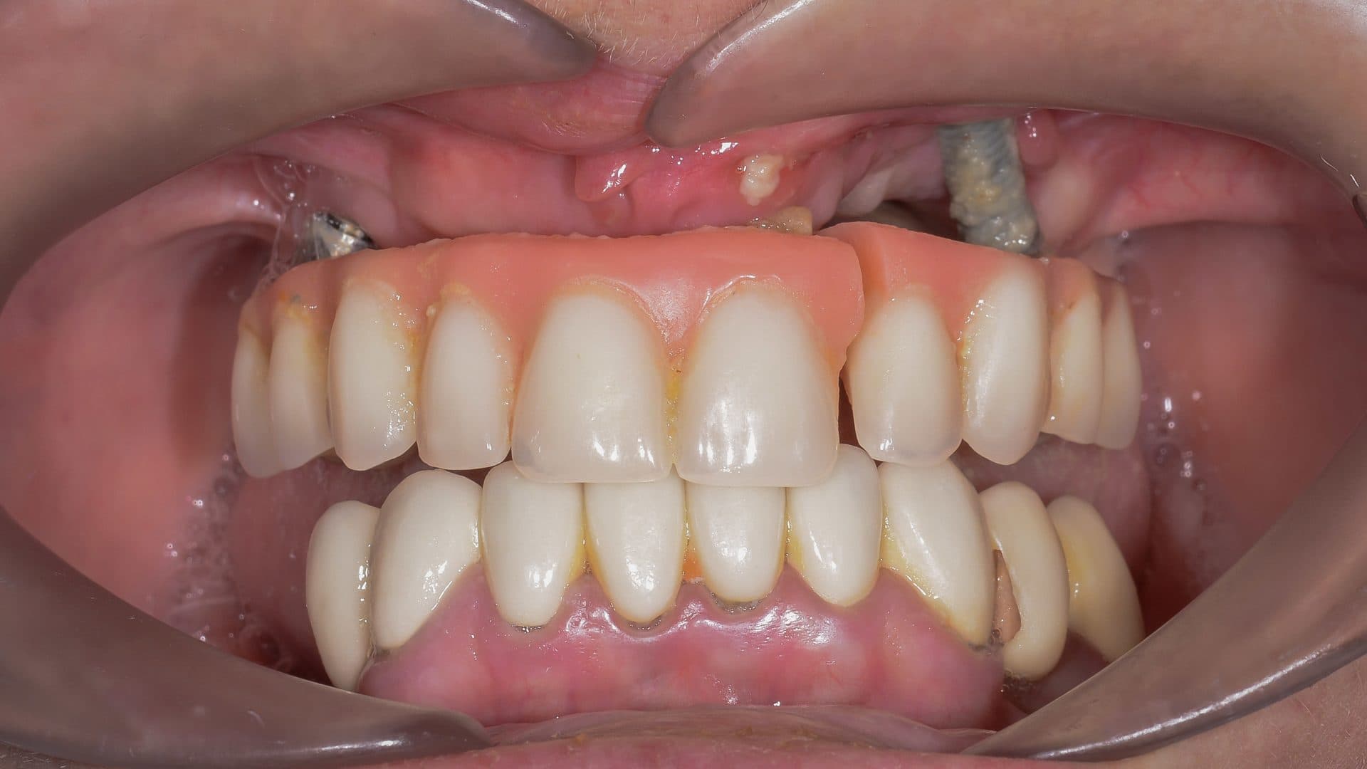
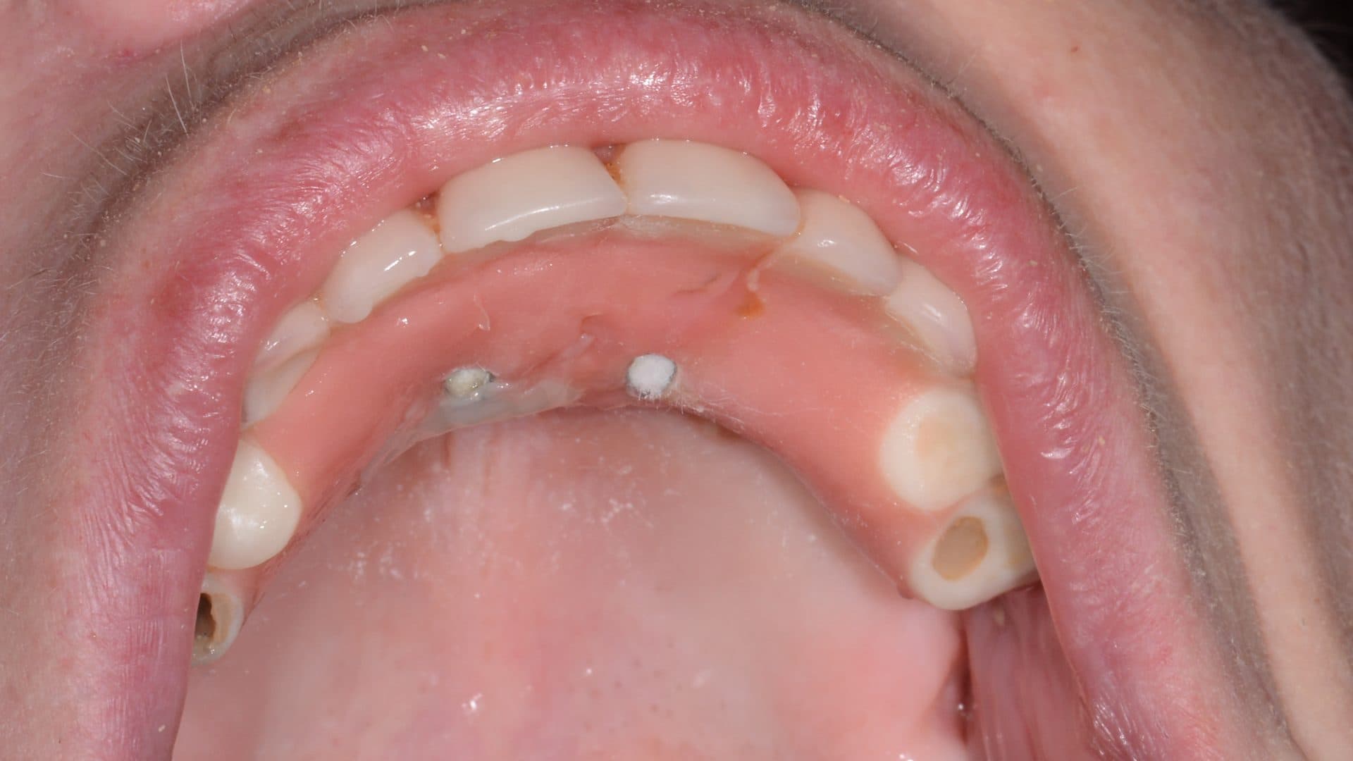
Here is a graphical overview of the ideal situation compared to poor standards with All-on-4 Plus® dental implants.
Ideal Situation
Poor Standards
As the surgery involves the jawbone, which is often already deficient, this treatment is difficult to undo and almost impossible to redo. This is surgery that also involves the mouth, which you use to talk, eat, taste, kiss, and smile, and when done incorrectly the treatment, being irreversible in its nature, could potentially commit a patient to a lifetime of new problems. Thus, as trusted clinicians we must always aim to get it right in the first place, but how can the patient know whom to trust?
It is alarming that in a random questioning of Laboratory Technicians, who see their client dentists work on a daily basis and are in the best position to comment on a dentist’s quality of work, they would NOT refer their friends or family to 90% of their dentist and specialist clients.
For people who are not in the dental or medical industry, it is difficult to know what to look for when choosing their surgeon or clinic. After over 20 years of performing and teaching advanced implant surgery, I have seen many cases referred to me with tragically poor results for rectification. As a member of the dental industry, I am conscious of ethical considerations to my peers and patients, but with the extent of irreversible damage that I have seen over the years by surgeons who simply don’t know better, I feel it is time to spill the beans. In the article and guidelines that follow I will share my insight into the relevant details that will help you decipher the facts, as I firmly believe that better-informed patients will ultimately lead to better surgeons and better outcomes.
Whilst I’d like to think that all professionals are ethical and honest people, experience has taught me otherwise. In much of your research and consultations, you are relying on the information that you get from the clinician, which may be phrased in ways that highlight what they want you to know, and which may also be limited by their own personal knowledge and experience. Find someone who is forthcoming with information about the procedure and the risks, and gives you a balanced overview, and most importantly, always follows your gut instinct!
I hope the information below will lead you to a positive journey; though hope is unreliable, …so let this be your guide.











